Diary 2, DeYtH Banger [recommended ebook reader .TXT] 📗
- Author: DeYtH Banger
Book online «Diary 2, DeYtH Banger [recommended ebook reader .TXT] 📗». Author DeYtH Banger
Psoriasis
Psoriasis is a chronic, inflammatory genetic condition in which patients develop scaling red bumps that coalesce into plaques and typically occur but are not limited to the scalp, elbows, and knees. Psoriasis is not curable; it can come and go by itself. There are a variety of treatments depending on the severity and extent of involvement, which vary from topical creams and ultraviolet light exposure to oral drugs and injectable medications. Patients with psoriasis more commonly develop cardiovascular disease and diabetes, which may be attributable to system-wide inflammation.

Eczema
Atopic dermatitis (called eczema) is a genetic condition that presents in early childhood with a chronic itchy, weeping, oozing dermatitis. It tends to localize to the arm creases opposite the elbow and on the leg opposite the knee. Many patients also have inhalant allergies such as asthma and hay fever. The condition improves with age. Treatment involves the application of emollients to wet skin and the use of topical steroids.

Rosacea
Rosacea is a chronic inflammatory condition of the face that is characterized by redness, dilated blood vessels, papules, pustules, and occasionally by the overgrowth of nasal connective tissue (rhinophyma). It superficially resembles teenaged acne, but it occurs in adults. Persistent facial flushing is an early sign of the skin's uncontrolled sensitivity to certain naturally produced inflammatory chemicals. Treatment of rosacea involves topical and oral drugs.

Cold Sores (Fever Blisters)
Herpes labialis (cold sore) is caused by the herpes simplex virus. Cold sores commonly appear on the edge of the lip. This virus exists in a dormant state in the spinal cord nerve cells, and after certain environmental triggers like a sunburn or a cold, the virus is induced to travel along a peripheral nerve to the same skin site over and over again. The eruption is self-limited to about seven to 10 days so that treatment is unnecessary unless the eruption becomes too frequent.

Plant Rashes
In allergic individuals, the development of a linear blistering eruption occurs within 24-48 hours of exposure to a member of the poison ivy or poison oak family of plants. Since the plant contains highly allergenic chemicals, most people will become allergic after a single priming exposure. The eruption will resolve within three weeks but will occur again the next time the skin comes in contact with the plant.

Treating Plant Rashes
The repeated application of cool wet compresses to the blisters followed by evaporation of the water can be soothing and speed healing. Treatment with steroids creams or even oral steroids may be required in severe cases. Once a person is allergic, this is permanent; it is important to avoid this plant family assiduously so this very unpleasant allergic reaction will not recur. Many of those allergic to poison ivy or poison oak (Toxicodendron) are also sensitive to mango skin and cashew nut oil.

Razor Bumps
This eruption occurs in areas of the skin in which hairs have been recently cut or extracted. This is commonly present in the beard area of individuals with very tightly coiled hair. When the hair is cut off or plucked out below the level of the follicular pore, it tends to curl into the side of the follicle and cause an inflammatory bump. Not shaving closely is very important in preventing this skin condition.

Skin Tags
Skin tags are small, fleshy, fibrovascular, pedunculated (on a stalk) growths that are often are found on the neck and armpits. They are generally asymptomatic unless they become irritated by frictional forces or their blood supply becomes compromised. They are very common and need not be removed or destroyed unless they become irritated.

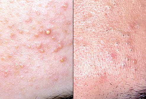
Acne
Acne vulgaris is a noninfectious eruption of papules and pustules on the face and occasionally on the chest and back. It occurs in all teenagers as they progress through puberty. Comedones (blackheads) and inflammatory papules and pustules are all present simultaneously. This is not a condition of dirty skin but is mediated by hormones that begin to circulate during puberty. The condition generally resolves around the age of 20-30 but may produce scarring if severe and left untreated.

Athlete's Foot
One of the most common causes of athlete's foot is an infection of the dead superficial layer of the skin called the stratum corneum by a fungal mold (tinea pedis) called a dermatophyte. If inflammatory, it may produce a blistering eruption which is quite itchy. Noninflammatory tinea pedis produces a dry scaling appearance and is frequently not very irritating. Tinea pedis is probably frequently contracted by walking barefoot in locker rooms. Topical antifungal creams are available over the counter and can be helpful in treating the infection.

Moles
Although the term mole may cover a variety of different sorts of skin growths, most often it refers to a localized accumulation of pigment-producing cells called melanocytes. These are generally uniform in color and round in shape. Melanocytic nevi (moles) range in color from beige to black, they're <½ inch in diameter, and are often located on sun-exposed skin. Poorly pigmented individuals may have an average of 35 of these growths by the time they are 35 years old. These are benign lesions but can be confused with various pigmented skin cancers. Pigmented lesions that itch, bleed, or grow could be cause for concern.

Age or Liver Spots
These flat brown spots typically appear on the face and forearms older individuals. Although they cause no symptoms, patients detest them because of their unsightly appearance. They can be treated in a variety of ways, but treatment is not medically necessary.

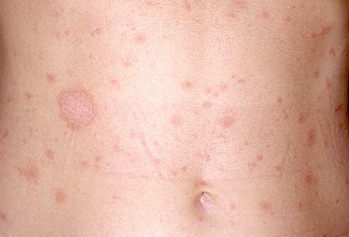
Pityriasis Rosea
This rash usually begins in a young adult as a single scaling bump or patch and then extends to cover much of the torso with many scaling spots that are elliptical in shape. They are associated with modest itching which only occasionally requires treatment. The condition usually lasts about 6-8 weeks in total.

Melasma
This condition occurs most commonly in women of childbearing age and is often associated with pregnancy or the ingestion of oral contraceptive medication. This flat brownish pigmentation occurs on the forehead, cheeks, and in the mustache area of the upper lip. It often persists after pregnancy or after birth control has ceased. Sunlight will make it darker. Successful treatment is not easy, and strict sun protection is a necessity.

Warts
The development of small keratotic tumors of the skin is caused by one of about 200 members of the human papillomavirus group. They often spontaneously go away, but particularly stubborn warts may require medical intervention. The proliferation of various treatments reflects the fact that successful resolution mostly depends upon the patient's immune response. There are a variety of treatments available without a prescription that ought to be tried prior to seeing a physician.

Seborrheic Keratoses
This is the single most common benign bump present on people as they age. Lesions may be present anywhere on the body and generally do not produce symptoms. They appear as black, brown, or yellow bumpy lesions which give the appearance of having been "glued" onto the skin. They are of no medical significance aside from the fact that they are occasionally confused with pigmented skin cancers.

Seborrheic Dermatitis
Seborrheic dermatitis is the single most common rash of adults. When it occurs in infancy, it is commonly called cradle cap. The adult disease tends to favor the scalp, skin behind the ears, forehead, brows, nasolabial folds of the face, mid-chest area, and the mid-back, producing an itchy, red scaling dermatitis. The scaling in the scalp can be conspicuous, producing impressive dandruff. The cause of this condition is unclear, but it responds well to topical steroids and to topical antifungal creams. Medicated shampoos containing tar, selenium sulfide, and zinc pyrithione are often effective. This condition commonly improves spontaneously but will ultimately recur. There is no cure so treatment must continue indefinitely.
Does Ringworm Mean I Have Worms?

What Is Ringworm?
Ringworm is a common skin disorder otherwise known as “tinea” or “dermatophytosis.” It is caused by a fungus that can live on skin, surfaces like locker room floors, and household items like towels, bedding, and clothes. While there are multiple forms of ringworm, the most common forms affect:
the skin on the body (tinea corporis), the scalp (tinea capitis), the feet (tinea pedis, or "athlete's foot"), or the groin (tinea cruris, or "jock itch").Ringworm attacks dead tissues in places like the hair, nails, and leftover dandruff. But our bodies’ immune reactions and local bacterial infections enable ringworm to turn healthy, living skin red and itchy.

Does Ringworm Mean I Have Worms?
Despite its name, ringworm is not caused by a worm. The ancient Greeks called ringworm “herpes,” meaning “ring,” while the ancient Romans called it “tinea,” referring to the larval stage of a clothes moth. Characterized by round skin lesions (rings) and early belief that the infection was caused by a parasite (worm), the English word “ringworm” was born sometime in the early 15th century. While the condition is actually the result of a fungal infection by an organism called a dermatophyte, the name ringworm has stuck.
Ringworm Is a Fungus
It wasn’t until 1841 that anyone realized fungus could be responsible for ringworm. In that year, Hungarian physician David Gruby demonstrated that favus, a ringworm of the scalp, was caused by fungal infection. Unfortunately his research was largely ignored. In 1934 Chester Emmons published a careful study of several species of dermatophytes, which helped pave the way for our modern understanding of the disease.
Ringworm During WWII
When American servicemen started contracting ringworm in the humid Pacific Theater during WWII, the U.S. government launched an intensive study
Comments (0)